Wat is dit?
Een endodontische behandeling, ook wel wortelkanaalbehandeling genoemd, is erop gericht om bacteriën uit de wortelkanalen te verwijderen en om te voorkomen dat deze opnieuw de kanalen binnendringen. Een tand of kies kan meerdere wortelkanalen bezitten.
Tips
Wanneer bacteriën van een diepe cariës (gaatje) de zenuw en het bloedvat van de tand of kies bereiken, zullen deze ontsteken. Een ontstoken zenuw kan u herkennen aan volgende klachten: pijn bij het eten of drinken, gevoeligheid bij koud en warm, kloppend gevoel,… Door de ontsteking zal de zenuw uiteindelijk afsterven. De bacteriën hebben dan vrij spel om zich in de pulpaholte (holte waar zenuwen en bloedvaten lopen) en de wortelkanalen te vestigen.
Een ontsteking kan na verloop van tijd een abces worden. Dit gaat dan gepaard met veel pijn en een zwelling op de plaats van het abces. Het is eveneens mogelijk dat er reeds een ontzenuwing gedaan is, maar dat de wortelkanalen niet goed gevuld zijn. Wanneer dit voorvalt kunnen er opnieuw bacteriën in de kanalen komen, deze zorgen opnieuw voor een ontsteking. Wanneer dit het geval is, zal de tandarts de oude kanaalvulling verwijderen, het kanaal opnieuw reinigen en een nieuwe kanaalvulling plaatsen.

Allereerst wordt de tand of kies verdoofd, waardoor de behandeling meestal pijnloos zal verlopen. Vervolgens wordt de tand of kies afgezonderd van de rest van de mond doormiddel van een rubberdam. Dit rubberen doekje zal ervoor zorgen dat er geen speeksel bij de tand of kies kan komen. Hierna wordt al het aangetast tandweefsel weggehaald en de ingangen van de wortelkanalen worden gezocht. Nu kan het reinigen van de kanalen beginnen, met vijltjes worden de kanalen verbreed. Hierbij worden de kanalen gespoeld met ontsmettingsmiddel. Nadat de kanalen voldoende gereinigd zijn, worden ze gedroogd en opnieuw opgevuld.
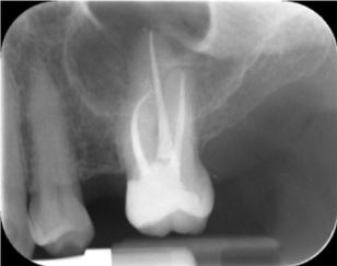
Tijdens de behandeling worden er enkele röntgenfoto’s genomen om het verloop van de behandeling te controleren. Vaak zal deze behandeling in twee zittijden gebeurden doordat dit een intensieve en lange behandeling is.

Na een endodontische behandeling is het mogelijk dat u napijn heeft, deze kan enkele dagen aanhouden. U kunt deze napijn met een pijnstiller onderdrukken. Een antibioticum is meestal niet nodig.

